2024-07
18
精准手术|广东医附院脊柱微创外科让患者挺起脊梁
近日,广东医附院脊柱微创外科又独立完成一例重度先天性脊柱侧凸矫形手术。先天性脊柱侧凸类型多样,畸形复杂,临床治疗难度大,手术风险极高。一直以来,脊柱矫形术被当作脊柱外科综合实力的标杆性手术之一。而先天性脊柱侧凸矫形手术对手术医生术前评估、手术策略制定及手术...2024-07
18
放疗技术|高效低毒!广东医附院成功运用屏气放疗技术
约70%肺癌、乳腺癌等肿瘤患者需要接受放射治疗,但胸部放疗同时会损伤心、肺等重要器官,降低心肺等器官的照射量是改善胸部放疗患者生活质量的关键。为此,放疗机房江丹贤主任,袁戈、吴成省、黄光森等科室骨干在广东医科大学附属医院一专科“一年一突破”战略的指引下,针对呼...2024-07
12
痴呆治疗|广东医附院神经内科中心开展粪菌移植,助力认知康复
广东医附院神经内科中心开展粪菌移植治疗痴呆的临床研究。该创新性治疗方法标志着我院神经内科中心在痴呆治疗领域取得了显著的进步,为广大患者带来了希望59岁吴女士患有系统性硬皮病,多年来一直依赖糖皮质激素和免疫抑制剂等药物治疗。然而,四年前的突发左侧基底结区出血,...2024-07
12
粤西首例 | 广东医附院血液内科与儿科重症专科开展白细胞去除术,成功救治“百日咳”重症患儿
2024年6月5日,广东医科大学附属医院血液内科与儿科重症专科成功为一名10月龄的百日咳重症肺炎患儿行白细胞、血小板去除术,使其转危为安。该患儿因“咳嗽伴发热15天,加重8天”至我院儿科重症专科就诊,入院时病情危重,予行气管插管、呼吸机辅助呼吸、镇静及对症支持治疗,急...2024-07
04
粤西首例|当胸腺瘤遇上肌无力,靶向治疗联合达芬奇机器人手术让患者重拾活力
29岁陆女士,因无明显诱因出现右侧眼睑下垂,伴咀嚼无力、双上肢抬起无力,于2月21日前往遂溪县人民医院就诊行胸部ct检查,发现前纵隔肿物,遂来广东医科大学附属医院就诊。经患者及家属同意与我院神经内科专科团队讨论后,决定使用国内最新获批的靶向生物制剂-艾加莫德为陆女...2024-07
04
聚焦亚专科 | 快看,这里是广东医附院肿瘤医院肺部肿瘤专科
广东医科大学附属医院肿瘤科始创于1992年,肺部肿瘤专科设立于2007年,建立以来学科快速发展壮大,2023年6月病区由原病区扩展为2个病区,现定编病床67张,年均收治病人约5000多人次,影响力辐射粤西整片地域。2022年入选首批国家肺癌规范化诊疗中心,为粤西唯一入选医疗单位,2...2024-07
02
技术 | 广东医附院创伤骨科与多学科联合救治,他的腿保住了!
近日,广东医附院创伤骨科在吴浩俊主任医师的带领下,由陈继铭、刘田丰、陈周韬、潘开翔等组成的医师团队,与整形科医师团队联合,在手术麻醉中心、创伤骨科护理团队的共同协助下,成功为1名下肢大面积皮肤软组织感染并胫骨大段骨坏死的患者实施了保肢治疗。男患者郑某某,58岁...2024-05
04
广东医附院创伤骨科成功开展ilizarov技术,治疗脑瘫马蹄足畸形
近日,我院创伤骨科在吴浩俊主任医师的带领下,由陈继铭、刘田丰、陈周韬、潘开翔等组成的足踝医师技术团队,在麻醉手术中心、创伤骨科护理团队的共同努力下,成功为1名脑瘫后马蹄内翻足畸形患者成功实施了 ilizarov环形外固定架矫形手术。患者黎某某,女,12岁,因“双...2024-05
04
广东医附院颈动脉狭窄MDT团队为颈动脉狭窄患者保驾护航
近日,广东医附院脑血管病专科与脑血管病外科,在放射影像中心、超声医学科、心血管内科中心、麻醉手术中心等共同协作下,成功为多名双侧颈动脉重度狭窄的患者进行了颈动脉支架术及颈动脉内膜剥脱术。这是广东医附院颈动脉狭窄MDT团队成功救治高危疑难颈动脉狭窄患者的典...2024-04
26
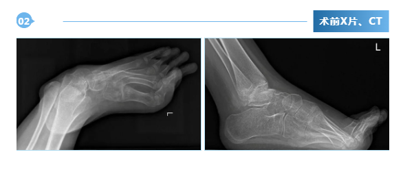
粤西首例|广东医附院关节外科成功实施标准化人工全踝关节置换术
近日,广东医科大学附属医院关节外科团队在科室副主任(主持工作)钟环的带领下,成功为一名踝关节骨性关节炎患者实施“3D打印导航辅助全踝关节置换术”。术后,56岁高先生给医生们竖起了大拇指说:“我这10年的踝关节痛总算被你们治好了,让我重拾行走的自由,我的脚步...COPYRIGHT © 2022 广东医科大学附属医院 版权所有 粤ICP备18072076号
预约咨询:0759-2369336
地址:湛江市霞山区人民大道南57号
邮编:524001
微信服务号
微信订阅号