核医学科
核医学科简介

发展历程
广东医科大学附属医院核医学科创建于1976年,现由 PET / CT 中心、 SPECT/CT显像及甲状腺疾病专科门诊三部分组成,是粤西地区集医疗、教学及科研于一体的现代化科室和综合临床培训基地。目前是广东省医学会核医学分会常委单位、湛江市医学会核医学分会主委单位、湛江市核医学质控中心主委单位。学科细分为PET / CT影像诊断、SPECT/CT影像诊断及核素治疗两个亚专科组。
SPECT显像及核素治疗亚专科始建于1978年,科室拥有先进的SPECT/CT、甲状腺功能测定仪等设备,是粤西地区率先应用放射性同位素进行诊断、治疗疾病及临床研究的医疗专科之一。在甲状腺疾病的诊断及核素治疗、全身骨病变的核素诊断、肾功能检查等方面的技术及水平领先于粤西地区。
PET/CT诊断中心亚专科于2013年成立,该中心配置GE公司 PET/CT及日本原装进口住友回旋加速器,是粤西地区唯一可以自行生产多种放射核素显像剂及分子探针进行肿瘤病变诊断及分期的PET/CT诊断中心,也是粤西地区最早开展PET/CT诊断技术的单位,检查患者范围覆盖整个粤西地区,辐射北部湾地区。
学科现状
核医学科拥有一支多专业结合、医术精湛、作风严谨的高素质医疗技术队伍,包括4名正高职称医师、2名医学博士及多名硕士研究生医师,拥有专业的核物理工程师及硕士学历的核素药物技师,专科人员结构配置合理。目前已发展成为设备先进、技术全面、集医教研于一体的医学专科,在广东省粤西地区核医学界享有较高的医疗及科研地位。
临床特色
一、PET/CT为一站式检查,即通过一次检查可反映病灶及全身器官代谢情况,从而判断肿瘤良恶性及全身其他器官病变及全身转移情况,两者优势互补,达到“1+1>2”的效果。PET/CT包含PET(功能分子影像)与CT(解剖影像)的最优化组合。是先进的分子功能成像技术与经典的解剖、密度显示技术完美结合的结晶。
1、PET/CT分子糖代谢显像,更早了解病灶功能变化。
1.1灵敏反映肿瘤疗效变化
治疗前 治疗后

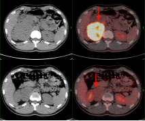
淋巴瘤治疗前后变化: 弥漫性大B细胞淋巴瘤化疗3程后,腹腔及腹膜后多发肿大淋巴结明显缩小,糖代谢明显减低。

(上两图为:治疗前,下两图为:治疗后)
淋巴瘤治疗前后变化:弥漫性大B细胞淋巴瘤化疗3程后,腹腔机腹膜后多发肿大淋巴结明显缩小,糖代谢明显减低。根据Deauville标准 5PS评分为2分。
1.2放疗前确定肿瘤病灶生物靶区,提高放疗疗效
肺癌放疗前确定生物靶区:左肺下叶鳞癌患者(右图所示),左下肺癌病灶并远端阻塞性肺不张,PET/CT可以准确区分肿瘤组织与非肿瘤组织,确定肿瘤病灶生物靶区。
1.3早期发现和检出肿瘤,鉴别肿瘤良恶性
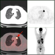
早期肺癌发现及鉴别:PET/CT显像示左肺上叶前段软组织灶(左图所示),糖代谢明显增高(SUVmax=15.3),经手术病理证实为肺腺癌。
2、PET/CT分子代谢+CT解剖,细小病灶定位更准确。
2.1全身多发细小病灶一览无余
CT图 融合图

黑色素瘤发现全身细小病灶: PET/CT可敏感发现全身皮下及肌肉多发转移瘤,CT显示病灶不清。
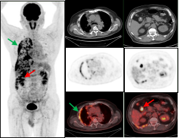
2.2肿瘤标志物升高,寻找原发病灶

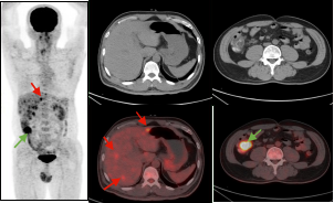
男,56岁,CEA: 40.5ng/ml,图A:肝脏多发转移瘤(红色箭头),图B:显示结肠肝曲高代谢肿块(绿色箭头),经肠镜证实为结肠腺癌。
2.3协助临床穿剌活检

右肺下叶肺癌伴阻塞性肺炎患者,CT难以精准指导穿刺,而PET/CT可准确区分肿瘤组织及炎性病变。绿色箭头示炎性组织,红色箭头示高代谢区域为肿瘤组织。
3、PET/CT全身扫描,更容易发现全身病灶
3.1恶性肿瘤的临床分期
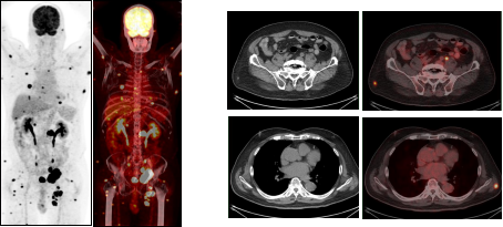
鼻咽癌全身转移:PET/CT显像示鼻咽左侧高代谢软组织肿块(绿色箭头);病理证实鼻咽非角化上皮癌,双侧颈部、肝脏及双侧髂骨多发转移瘤(红色箭头)。

胰腺癌全身转移:胰腺体尾部胰腺癌(绿色箭头),肝脏多发转移瘤及胸9椎体转移瘤(红色箭头)。

双癌检出:通过PET/CT一站式检查,同时检出两种肿瘤:甲状腺癌(绿色箭头)及子宫内膜癌(红色箭头),有利于临床治疗方案选择。
3.2全身多发转移,寻找原发病灶
图A绿色箭头示右侧胸膜多发转移,图B红色箭头示结肠肝曲局部管壁稍厚形成软组织灶,糖代谢增高,肠镜证实结肠肝曲腺癌。
图A 图B
3.3随访过程中监测肿瘤复发及转移

直肠癌治疗后复发:直肠癌术后及放化疗后肿瘤复发,并侵犯周围结构组织。

前列腺癌治疗后复发:18F-PSMA PET/CT显像示前列腺癌去势治疗术后复发并骶尾椎骨转移瘤。
3.4肿瘤分期对比

图A 图B
A、B两图均为左肺周围型肺癌,病灶大小相似,A未见远处转移病灶,B全身广泛转移,临床分期分别为ⅡB期及ⅣB期,PET/CT不同分期影响临床治疗决策。
临床特色
二、SPECT/CT在甲状旁腺疾病诊断、骨转移瘤的早期诊断和肾功能检出等方面,具有独特的优势。
SPECT/CT检查的适应症:
1.肿瘤:肿瘤骨转移诊断、肿瘤良恶性的鉴别诊断(乳腺癌、肺癌等);
2.心血管系统:早期冠心病诊断(心肌缺血与心肌梗塞)、各类型心肌病诊断、室壁瘤诊断;
3.内分泌系统:甲亢辅助诊断、大小评估、甲状腺肿瘤良恶性鉴别、甲状腺旁腺瘤诊断;
4.呼吸系统:早期肺栓塞诊断、肺癌患者术前评估(全身骨显像进行骨转移诊断);
5.泌尿系统:动态肾功能检测(肾小球率过滤测定)、移植肾功能检测、肾性高血压鉴别等。
6.消化系统:胆囊收缩功能评估、胃出血分析、异位胃黏膜显像分析、肝脏良恶性肿瘤鉴别(鉴别血管瘤、肝癌)、新生儿黄疸鉴别等。
7.神经系统:癫痫病灶定位、早老性痴呆诊断、早期脑梗塞诊断等;
8.骨骼系统:关节炎及关节内疾病、应急性骨折及其他隐秘性骨外伤、单骨性或多骨性原发骨肿瘤或其他骨骼疾病诊断。


教学科研
核医学教研室建立于1985年, 承担临床、影像本科的教学任务及实习教学工作。教研室围绕医院国家重点学科结合核医学特点开展相关科学研究,积极组织申报教学研究课题。科室重点开展PET/CT在肿瘤的临床应用,主持及参与市厅级课题多项,目前科室承担“广东省医学基金研究项目”2项;发表国家级及核心期刊收录论文二十余篇,近三年发SCI收录论文8篇(3篇为JCR分区I区);2020年报道PET/CT诊断原发脑室内淋巴瘤的文章收录在《Clincil Nuclear Medicine,2020 Feb;45(2):156-158》(IF:7.79))并作为封面文章发表,后被全国核医学医师官方公众号转载报道。苏敏教授作为副主编出版专著一部《简明核医学教程》。
学科发展目标
继续做好“医疗、教学、科研”一体化工作,全科室工作人员信守以病人为本的理念,以人性化的服务,竭诚为受检者提供最优质的服务。