账号注册

当前位置:

首页 >> 医疗护理 >> 医疗技术 >> 正文

医疗护理

技术 | 广东医附院胸外科成功切除左胸巨大纤维性肿瘤

近日,广东医科大学附属医院胸外科副主任(主持工作)梁柱带领何湛、陈捷主任医师团队通过多学科协同合作,成功切除一例巨大的左胸孤立性纤维性肿瘤。

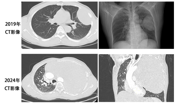
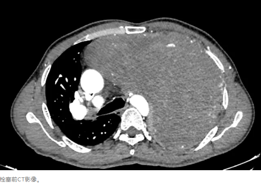
治疗前背景:患者黄某某,男性,56岁,2019年时因活动后气促行CT检查发现左侧胸腔内有一肿物影,大小约5cm*5cm*3cm,考虑良性肿瘤。当时未予重视,未行进一步检查及治疗。近年来,患者活动后气促逐渐加重,直到2024年5月再次就诊,行CT检查提示左侧胸腔肿物明显增大,约30cm*25cm*25cm,巨大的肿瘤几乎占据了整个左侧胸腔,并严重挤压纵隔、气管、心脏,导致以上重要器官出现明显移位。

治疗方案制定:

患者曾到广州相关医院就诊,但因该手术存在的巨大风险,无法获得满意的治疗方案。2024年5月29日患者再次返回我院诊治,在超声科介入组主导下,行超声引导下肿瘤穿刺活检,病理提示肿物符合胸壁孤立性纤维性肿瘤。住院期间检查,提示血糖最低0.86mmol/l、血钾最低2.74mmol/l,考虑合并罕见的副瘤综合征(Doege-Potter综合征)。诊断为:1、左侧胸腔巨大孤立性纤维性肿瘤;2、副瘤综合征:低钾、低血糖。考虑患者病情复杂且罕见,在胸外科副主任(主持工作)梁柱主持下,立即启动多学科会诊制度,在胸外科、肺部肿瘤专科、介入科、麻醉手术中心、输血科、内分泌科等多学科讨论后,建议患者先行抗肿瘤治疗,待缩小后再行手术治疗,并术前行介入血管栓塞减少出血风险。

手术前准备:

1、在肺部肿瘤专科行化疗联合抗血管靶向治疗3周期;
2、内分泌科协助下调节血糖、血钾;
3、考虑血源问题及降低输血相关风险,输血科主导下行术前自体备血;
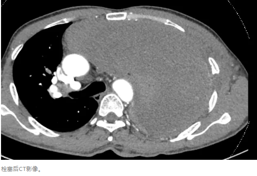
4、最后也是最重要的,于2024年9月14日在介入科主导下行肿瘤相关滋养血管栓塞治疗,治疗后复查胸部增强CT对比,见肿瘤血运明显减少。

在术前各种准备完善后,2024年9月18日顺利行手术切除,术中出血少,无需输血。肿瘤大小约25cm*20cm*23cm,重2.6KG。术中胀肺,使患者肺获得完全复张。术中、术后患者病情稳定,无需转重症监护病房,返回普通病房进一步治疗。第二天,患者顺利下床活动,复查胸片提示恢复好。

疗效:

1、患者左肺基本复张,明显缓解患者气促症状,提高术后生活治疗;

2、病理报告提示,70%肿瘤区域变性坏死,证明术前的相关治疗,不但降低手术风险,而且取得很好的抗肿瘤效果,预计为患者带来更好的疗效。

总结:

本病例充分体现了多学科综合治疗的优越性,包括手术前肺部肿瘤专科行化疗联合抗血管靶向治疗3周期抗肿瘤治疗、术前内分泌科对副瘤综合征的对症治疗、术前介入科的血管栓塞减少出血、术前输血科的自体血备血、麻醉手术中心在围手术期的保驾护航、胸外科的高超手术技术,为患者得到规范治疗,并取得很好疗效。

科普:什么是胸壁孤立性纤维性肿瘤?

胸壁孤立性纤维肿瘤是一种罕见的生长缓慢的肿瘤,起源于胸膜间皮层下的间叶组织。大多数病例发生在60或70岁,没有性别偏好,超过80%的病例是良性的,部分恶性肿瘤可出现恶性生长倾向,其主要临床症状和体征为呼吸困难、咳嗽、胸痛、杵状指等。早期患者的疾病情况并不严重,但随着患者体内肿瘤细胞的恶性增长,患者的患病情况会往恶性程度发展。在其良性阶段生长速度比较缓慢,但随着疾病程度的进展,可能会出现体内肿瘤的增大,可以导致患者出现患病部位疼痛以及呼吸困难。另外,在少数情况下,也有可能引起患者出现副肿瘤综合征,严重影响患者的日常生活质量。然而,由于许多患者是无症状的,通常通过胸部CT/DR检查发现胸腔内的肿瘤。目前手术切除是治疗的最重要途径,通常是治愈性的,但术后仍需要定期复查以排除肿瘤复发的可能。

专家简介

广东省医师协会胸外科分会委员,湛江市医学会心胸外科分会副主任委员,广东省健康管理学会胸部肿瘤及肺结节管理专委会常委,广东省胸部疾病学会肺癌多学科治疗专业委员会委员,广东省胸部疾病学会胸部创伤管理专业委员会委员,广东省康复医学会呼吸康复专业组委员,湛江市肺部肿瘤专业组常委。

曾获首届中国微创肺癌手术菁英大赛中国南区第3名,多次进行肺癌微创手术全国现场直播,率先在非珠地区开展了机器人微创胸外科手术。

关闭

友情链接

COPYRIGHT © 2022 广东医科大学附属医院 版权所有 粤ICP备18072076号

预约咨询:0759-2369336

地址:湛江市霞山区人民大道南57号

邮编:524001

  • 微信服务号

  • 微信订阅号