专科介绍
广东医附院肿瘤医院头颈部肿瘤专科是粤西医疗水平最高、科研力量最强、教学实力雄厚、人才梯队合理的头颈肿瘤专病中心,主攻鼻咽癌、头颈部鳞癌、神经肿瘤等肿瘤,是粤西首家鼻咽癌规范化诊疗中心、湛江鼻咽癌MDT 中心、省内知名学科,是广东省临床医学学会鼻咽癌精准治疗委员会副主委单位、广东省临床医学学会头颈肿瘤综合治疗专业委员会副主委单位和广东省医院协会第二届放射治疗科管理专业委员会副主委单位等。2013年被评为广东医科大学附属医院重点学科,2018年被评为广东省高水平医院建设“登峰计划”重点建设中心。

科室荣誉
近年来,广东医附院肿瘤医院头颈部肿瘤专科通过放化疗、免疫、靶向等治疗方法和MRI-Sim、VMAT、肿瘤靶区自动勾画等先进放射治疗技术,致力于头颈部肿瘤患者的精准及个体化治疗,取得了良好的社会效益。头颈部肿瘤专科现有医生20人,护士15人,医生团队有博士6人,在读博士3人,博士研究生导师1人,博士后合作导师2人,硕士研究生导师5人,双师型人才1人。医生团队有正高4人,副高8人,中级3人,初级5人。

科室技术力量雄厚,医生们经过国内外大肿瘤中心的专科系统性培训,在鼻咽癌、头颈部鳞癌、神经肿瘤的诊治领域有深入的研究及独特的见解,尤其在鼻咽癌个体化治疗和适形调强放疗方面形成了一整套科学有效并独具特色的治疗规范,鼻咽癌的系列研究成果获得2023年广东医学科技奖三等奖和2023年“创新湛江”科学技术奖二等奖(均为第一完成单位)。

全新进口直线加速器

PHILIPS 16排大孔径肿瘤4D-CT模拟定位机

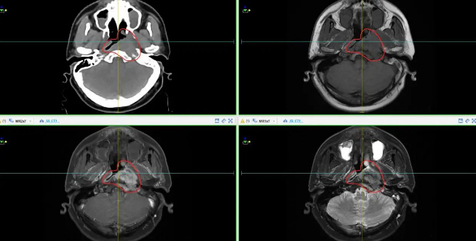
常态化磁共振模拟定位(实现放疗靶区雕刻式精准勾画)



鼻咽癌伴颈部淋巴结、胰头淋巴结及肝转移治疗前后对比
护理团队有16人,其中主任护师职称1人,副主任护师职称1人,中级职称4人,初级职称10人。常规开展PICC置管、输液港植入等技术,解决病人静脉血管通路问题。通过加强护理岗位管理及护理内涵建设,坚持“以患者为中心”的服务宗旨,全面提升护理服务能力和专业技术水平,为广大患者提供安全、专业、主动、连续、贴心的优质护理工作。
学科带头人简介

罗海清
头颈部肿瘤专科副主任(主持工作)、肿瘤医院二党支部书记、鼻咽癌亚专科负责人、肿瘤学博士,主任医师,副教授,美国哈佛医学院博士后,博士研究生导师,博士后合作导师。岭南名医、广东省高等学校“千百十工程”培养对象、广东医科大学“学科攀登党员先锋岗”、广东医科大学附属医院第五层次高层次人才。学术任职:担任广东省医院协会放射治疗科管理专业委员会副主委、广东省临床医学学会头颈部肿瘤综合治疗专业委员会副主委、广东省器官医学与技术学会肿瘤放疗专业委员会副主委、中国抗癌协会鼻咽癌整合康复协会委员、广东省医学会肿瘤精准诊疗分会常委、广东省临床医学会鼻咽癌精准治疗委员会常委。专业擅长:鼻咽癌的放化疗、靶向、免疫等综合治疗,尤其是复发、转移鼻咽癌的临床综合治疗。以第一作者/通讯作者发表SCI论文22篇,中文论著16篇,主持省市校院级课题9项,获得国家授权发明专利1项,获得广东省医学会科技进步奖三等奖及 “创新湛江”科学技术奖二等奖,鼻咽癌的临床研究成果获得2024年全球顶尖美国ASCO大会的poster session展示。